Radiología Dental Avanzada
Combinamos innovación tecnológica y excelencia profesional para ofrecer imágenes de alta calidad que elevan el diagnóstico y la planificación odontológica.
Imágenes 2D
-

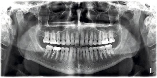
Rx Panorámica
Es un estudio esencial para la evaluación inicial, planificación de tratamientos odontológicos y seguimiento clínico.
Nuestras radiografías panorámicas 2D permiten una visualización completa de ambas arcadas dentales, estructuras óseas y articulaciones, con una excelente calidad diagnóstica y baja dosis de radiación
-

Lateral de Cráneo
La radiografía lateral de cráneo 2D es un estudio fundamental en ortodoncia y diagnóstico dentofacial, ya que permite evaluar las relaciones óseas, dentales y el crecimiento facial de forma precisa.
Gracias a nuestra tecnología digital de alto nivel, obtenemos imágenes nítidas y confiables, con una baja dosis de radiación para el paciente.
-

Antero Posterior - Radiografía PA & AP
Estudio radiográfico en proyección anteroposterior y posteroanterior que permite evaluar maxilares, cavidad nasal, senos paranasales y estructuras óseas del cráneo.
Está indicado para el estudio de asimetrías faciales, alteraciones del crecimiento, fracturas y patologías óseas, realizado con tecnología digital de alta precisión y baja dosis de radiación.
-

Radiografía de ATM (Boca abierta y boca cerrada)
La radiografía de la articulación temporomandibular (ATM) permite evaluar la posición, morfología y relación de los cóndilos mandibulares.
Es un estudio de apoyo fundamental en pacientes con dolor articular, limitación de apertura o trastornos temporomandibulares.
-

Radiografía Carpal
La radiografía carpal se utiliza para determinar la edad ósea del paciente y compararla con su edad cronológica.
Este estudio actúa como un indicador de maduración biológica, siendo de gran utilidad en la planificación de tratamientos ortodóncicos.
-

Análisis Cefalométricos
Permiten analizar de forma precisa las relaciones óseas, dentales y los cambios esqueléticos que ocurren durante el crecimiento y el tratamiento ortotóncico:
• McNamara • Steiner – Jarabak – IOWA • Ricketts • Tweed • PA • Análisis Quirúrgico (Surgical) • Predicción Quirúrgica
-

Radiografía de Senos Paranasales
La radiografía de los senos paranasales es un estudio bidimensional que permite evaluar con precisión las cavidades aeradas de la cara (senos frontal, maxilar, etmoidal y esfenoidal) mediante proyecciones específicas como Waters y Caldwell, facilitando la detección de opacidades, niveles hidroaéreos, engrosamiento mucoso, infecciones agudas o crónicas, obstrucciones y alteraciones óseas básicas, aportando información clave para el diagnóstico inicial y la evaluación de sinusitis en especialidades como otorrinolaringología y medicina general, aunque ha sido en gran medida reemplazada por la tomografía computarizada por su mayor detalle anatómico.
Imágenes 3D
-

Tomografía de Maxilares
La tomografía de maxilares permite obtener una visualización tridimensional detallada de las estructuras óseas y dentales, ampliando significativamente la información diagnóstica.
Este estudio es ideal para la evaluación de terceros molares, ATM, lesiones óseas y planificación quirúrgica, aportando precisión en el diagnóstico y tratamiento de diversas condiciones odontológicas.
-

Tomografía Multidental
La tomografía multidental permite un análisis tridimensional detallado de varias piezas dentales en un mismo estudio, ofreciendo información precisa sobre hueso, raíces, conductos radiculares y estructuras anatómicas cercanas.
Es una herramienta clave para la planificación de implantes, evaluación de dientes retenidos, lesiones óseas y tratamientos periodontales, aportando mayor seguridad y predictibilidad en los procedimientos odontológicos.
-

Tomografía de Pieza Única
La tomografía de una sola pieza dental permite una visualización tridimensional de alta precisión de la anatomía dentaria, gracias al uso de un voxel reducido, ideal para estudios de detalle.
Este tipo de tomografía es especialmente útil en endodoncia, ya que facilita la evaluación de conductos radiculares, fracturas dentarias y lesiones periapicales, aportando información clave para un diagnóstico exacto y una
-

Tomografía de Otorrino
La tomografía de otorrinolaringología mediante haz cónico (CBCT) se ha convertido en una herramienta de gran valor diagnóstico en esta especialidad.
Permite la exploración detallada del oído y la obtención de imágenes precisas del hueso temporal, estructuras óseas nasales y cavidades perinasales, facilitando una evaluación clara y confiable para el apoyo diagnóstico en ORL.
-

Tomografía de ATM
La tomografía de la articulación temporomandibular es un estudio tridimensional que permite evaluar con alta precisión las estructuras óseas de la ATM, incluyendo cóndilos y fosa glenoidea, facilitando la detección de alteraciones estructurales, asimetrías y cambios degenerativos, aportando información clave para el diagnóstico y la planificación de tratamientos en especialidades como ortodoncia, cirugía oral y maxilofacial.
-

Tomografía de Senos Paranasales
La tomografía de los senos paranasales es un estudio tridimensional que permite evaluar con alta precisión las cavidades aeradas de la cara (senos frontal, maxilar, etmoidal y esfenoidal), incluyendo sus paredes óseas, ostiomeatales y mucosa de revestimiento, facilitando la detección de inflamaciones, obstrucciones, infecciones crónicas, pólipos, alteraciones anatómicas y cambios patológicos, aportando información clave para el diagnóstico y la planificación de tratamientos en especialidades como otorrinolaringología, cirugía endoscópica sinusal y alergología.